![Özellikle 3 yaş altındaki çocuklarda çok riskli! Çocuklarda influenza tehlikesine dikkat]()
![]()
ÇOCUK SAĞLIĞI Özellikle 3 yaş altındaki çocuklarda çok riskli! Çocuklarda influenza tehlikesine dikkat
![Duruşun sessiz alarmı: Okullarda postür taraması neden şart?]()
![]()
ÇOCUK SAĞLIĞI Duruşun sessiz alarmı: Okullarda postür taraması neden şart?
![Bağışıklık hücrelerini aktive ediyor! Özellikle kış boyunca tüketin]()
![]()
ÇOCUK SAĞLIĞI Bağışıklık hücrelerini aktive ediyor! Özellikle kış boyunca tüketin
![Öğrenme güçlüğüne ve zeka düzeyinde geriliğe neden olabilir! Çocuklarda demir, b12 ve d vitamini eksikliğine dikkat]()
![]()
ÇOCUK SAĞLIĞI Öğrenme güçlüğüne ve zeka düzeyinde geriliğe neden olabilir! Çocuklarda demir, b12 ve d vitamini eksikliğine dikkat
![Çocuğunuz solaksa dikkat! Baskın eli değiştirmeye çalışmak nörogelişimsel risk taşıyor]()
![]()
ÇOCUK SAĞLIĞI Çocuğunuz solaksa dikkat! Baskın eli değiştirmeye çalışmak nörogelişimsel risk taşıyor
![Kırtasiye alışverişi hastanede bitmesin]()
![]()
ÇOCUK SAĞLIĞI Kırtasiye alışverişi hastanede bitmesin
![Dört yaşındaki kız çocuğu kanepede cansız yatıyordu, gözleri donuk, yüzü morarmıştı... Ailesi onu nasıl kurtardı? İşte her ebeveynin bilmesi gerekenler]()
![]()
Dört yaşındaki kız çocuğu kanepede cansız yatıyordu, gözleri donuk, yüzü morarmıştı... Ailesi onu nasıl kurtardı? İşte her ebeveynin bilmesi gerekenler
Yanınızda bir çocuk hatta kendi çocuğunuz yemek yerken boğulma tehlikesi yaşasa ve nefessiz kalsa nasıl müdahale edersiniz? Yapmanız gerekenleri biliyor musunuz? Eğer bilmiyorsanız bu hikâye size kesinlikle bir rehber olacak.
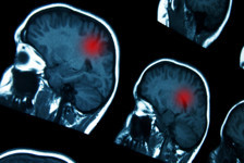
![14 yaşındaki gence ‘normal’ denilen baş ağrılarının sebebi korkunç hastalık çıktı! ‘Ona bir tarama bile yapılmadı']()
![]()
14 yaşındaki gence ‘normal’ denilen baş ağrılarının sebebi korkunç hastalık çıktı! ‘Ona bir tarama bile yapılmadı'
Bir baba, doktorların oğluna ‘ergenlik migreni’ teşhisi koyup ağrı kesici içmesini söylediklerini, ancak durumun aslında tedavi edilemez bir beyin tümörü olduğunu anlattı. Acılı baba şimdi hem oğlunu iyileştirebilmek hem de ihmalin hesabını sormak için mücadele ediyor.
![Bebeğini yatağına koydu ve kameradan bir parlama fark etti... Sonra ise küçük kızı gözünü kaybetti!]()
![]()
Bebeğini yatağına koydu ve kameradan bir parlama fark etti... Sonra ise küçük kızı gözünü kaybetti!
Kristen Draime, iki yaşındaki kızının bebek monitörüne baktığında en büyük korkusuyla yüzleşti. Korkunç hastalığın belirtisi, monitörden parlıyordu!
![Bu sorulardan iki ya da fazlasına 'hayır' diyorsanız hemen doktora gidin! Otizmin 6 işaretini gözden kaçırmayın]()
![]()
Bu sorulardan iki ya da fazlasına 'hayır' diyorsanız hemen doktora gidin! Otizmin 6 işaretini gözden kaçırmayın
Erkek çocuklarda kızlara göre daha sık görülen otizm, hastalıktan çok nörogelişimsel bir durum olarak adlandırılıyor ve toplumdaki sıklığı her geçen gün artıyor. Günümüzde her 36 çocuktan biri otizm tanısı alıyor. Otizmde erken teşhis çocukların gelişimi için büyük önem taşıyor.
![Sadece grip sandılar ama virüs 4 yaşındaki kızın beyninde hasar bıraktı... Uyanıp uyanmayacağı bile bilinmiyor]()
![]()
Sadece grip sandılar ama virüs 4 yaşındaki kızın beyninde hasar bıraktı... Uyanıp uyanmayacağı bile bilinmiyor
Henüz 4 yaşında olan Sienna, bir gece aniden ateşlendi ve sonra hiçbir şey eskisi gibi olmadı. Virüs beyninde hasar bıraktı, yapay komaya girdi ve iki ameliyat geçirdi. Şimdi ise uyanıp uyanmayacağı ve uyansa bile yardım almadan yürüyüp konuşabileceği bilinmiyor. Ailesi ise küçük kızlarına grip aşısı yaptırmadığı için bin pişman.
![Sakın grip deyip geçmeyin! Çocuklarda bunlara sebep olabiliyor]()
![]()
Sakın grip deyip geçmeyin! Çocuklarda bunlara sebep olabiliyor
Sonbahar aylarında çocuklar arasında yaygın olarak görülen grip doğru tedavi edilmediğinde önemli sağlık sorunlarına yol açabiliyor. Çocuklarda genellikle hafif seyreden viral bir hastalık olan grip; aniden ortaya çıkan ateş, burun akıntısı, boğaz ve kas ağrısı gibi şikayetlerle kendini belli ediyor.
![Sessizce yayılıyor! Dünyanın çeşitli yerlerinde vakalar ve ölümler artıyor... İşte Türkiye’deki durum]()
![]()
Sessizce yayılıyor! Dünyanın çeşitli yerlerinde vakalar ve ölümler artıyor... İşte Türkiye’deki durum
Son yıllarda özellikle çocuklar için hayati risk taşıyabilen kızamık vakalarında ciddi bir artış söz konusu. Dünyanın çeşitli yerlerinde, uzun yıllar sonra ilk kez görülen çok sayıdaki vakalar ve ölümler alarm veriyor. Öte yandan kızamık, iyileşseniz bile tehlikesi devam eden bir hastalık. Seneler sonra ortaya yüzde 100 ölümcül olan subakut sklerozan panensefalit (SSPE) olarak çıkabiliyor. İşte dünyadaki ve Türkiye’deki son durum...
![Çocukluk çağının en çok görülen kanseri yaygınlaşıyor! Bu belirtileri iyi gözlemleyin]()
![]()
Çocukluk çağının en çok görülen kanseri yaygınlaşıyor! Bu belirtileri iyi gözlemleyin
Teknolojiyle iç içe, hızlı tüketimin merkezde olduğu modern yaşam, çocuk sağlığını sessiz ama güçlü biçimde tehdit ediyor. Artan hava kirliliği, hazır gıdalar, kimyasal içerikli oyuncaklar ve ekran karşısında geçirilen uzun saatler, çocukluk çağı lösemilerinin görülme oranının son yıllarda artmasına neden oluyor.
![Çocuğunuzun baş ağrısı mâsum da olabilir, tehlikeli de! Bu belirtiler varsa zaman kaybetmeyin]()
![]()
Çocuğunuzun baş ağrısı mâsum da olabilir, tehlikeli de! Bu belirtiler varsa zaman kaybetmeyin
Çocuklarda son yıllarda ekran kullanım süresinin uzaması, uyku düzensizlikleri, okul stresi ve sağlıksız beslenme nedeni ile baş ağrısı sorunu yaygınlaşıyor. Çocuk Nörolojisi Uzmanı Prof. Dr. Nur Aydınlı, baş ağrısının masum nedenleri olduğu gibi, ciddi hastalıklara işaret eden tehlikeli nedenlerinin de olabildiğini belirtti.
![Özellikle 3 yaş altındaki çocuklarda çok riskli! Çocuklarda influenza tehlikesine dikkat]()
![]()
Özellikle 3 yaş altındaki çocuklarda çok riskli! Çocuklarda influenza tehlikesine dikkat
Sonbahar mevsiminde görülme sıklığı giderek artan grip çocukları halsiz bırakmasının yanı sıra hastane yatışlarına bile yol açabiliyor. Çocuklar ne kadar küçükse influenza virüsünün neden olduğu grip o kadar ağır ve önlenmesi zor olan yan etkilerle seyredebiliyor.
Oya ARMUTÇU
Fuat BOL
Nedim ŞENER































