Güncelleme Tarihi:
Halluks Valgus, ayak başparmağının diğer parmaklara doğru eğilmesi ve başparmağın altındaki tarak kemiğinin de ters yönde çıkıntı yapması ile kendini göstermektedir. Başparmağın eğiklik hastalığı olarak da bilinen Halluks Valgus kadınlarda daha sık görülmektedir.
Halluks Valgusun başlıca sebebi genetik, yani ailesel geçiştir. Annesinde ya da anneannesinde başparmak eğikliği olanlarda bu rahatsızlığın gelişme ihtimali diğer kişilere göre daha yüksek olmaktadır. Genetik alt yapısı olup, çok yüksek topuklu ve önü dar ayakkabı giyen bireylerde bu hastalık daha fazla görülmektedir. Bununla birlikte düztabanlık da Halluks Valgus riskini artırmaktadır.
Hastalarda sık görülen ve en çok şikayet konusu olan belirti, ayak baş parmağının kök kısmındaki çıkıntının ayakkabıya sürtünmesi ve ona bağlı olarak gelişen ağrı ile şişliktir. Sürtme sonucunda şişlik artmakta, şişlik arttıkça daha çok sürtünme olmaktadır. Sürtünmenin gerçekleştiği noktada bunyon adı verilen, kemiğin üzerinde büyük bir şişlik ile nasır oluşmaktadır. Devam eden bu kısır döngü, hastanın şikayetlerini artırmaktadır.
Başparmağın eğilmesi ile beraber ayağın mekaniğinin bozulmaya başlaması da Halluks Valgus’un diğer bir belirtisi olmaktadır. Normalde başparmağın altında olması gereken nasır, başparmak havaya kalktığı için ikinci ve üçüncü parmağın altında oluşmaya başlamaktadır. Bu durum ayağın yük taşıma şeklinin değişerek mekaniğinin bozulmasına ve yürüme sırasında ayak ortasında da ağrı oluşmasına sebebiyet vermektedir.
Hastalığın daha ileri aşamalarında ayak başparmağı ikinci parmağın altına girmeye başlamaktadır. Başparmak, ikinci parmağı da alttan yukarı doğru ittiği için ileri evre hastalarda ikinci parmağın altında ve üstünde nasırlar oluşmaktadır. Ayakkabıya sürtünme fazla olursa çok sık olmamakla birlikte yara ve iltihaplanma da görülebilir.
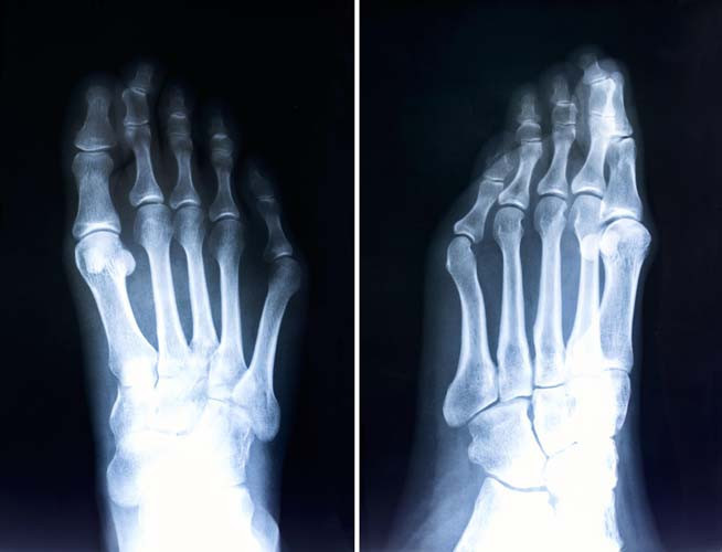
Hastanın ayağının görüntüsü tanı konulmasında yardımcı olmaktadır. Bununla birlikte üzerine yük verilmiş ayağın, yere basarken çekilen Röntgen filmi teşhise kesinlik kazandırır. Röntgen filmi ile başparmağın birinci tarak kemiğine ya da birinci tarak kemiğinin, ikinci tarak kemiğine olan açıları ölçülmektedir. Açı hesaplamalarının ardından uygun tedavi yöntemi seçilmektedir.
Üç evresi bulunan Halluks Valgus’un ilk evresinde hastanın ayağında sadece görünüm olarak bir bozukluk ortaya çıkmakta, ancak şiddetli ağrı yaşanmamaktadır. Bu durumda ameliyat önerilmezken, bazı rahatlatıcı egzersizler planlanabilir. Bu hastaların öncelikle önü dar ve yüksek topuklu ayakkabı giymemesi, başparmağın şekil bozukluğunun ters tarafına çekilmesini sağlayan egzersizler yapması gerekir. Genetik geçiş çok ciddi değilse ve parmakta hafif bir eğiklik varsa bu egzersizler hem kasları rahatlatıp ağrı olmasını engeller, hem de durumun kötüleşmemesini sağlar. Erken evrede ise hastalar ayrıca parmak arası silikon makara ve ortez de kullanabilmektedir. Bu malzemeler egzersize benzer şekilde başparmağı şekil bozukluğunun ters yönüne doğru tutarak ağrının azaltılmasını sağlar.
Hastanın şikayetlerinin arttığı ancak başparmağın fazla eğilmediği ve tarak kemiklerinin birbirine olan açılarının çok bozulmadığı, sadece kemik çıkıntısının ön plana çıktığı durum Halluks Valgus’un ikinci evresidir. Bu durumda sadece kemik çıkıntısının törpülenip, başparmağın yamulmasına neden olan kasların gevşetildiği basit bir ameliyat yapılır.
Tarak kemiklerinin birbirine olan açıları fazla olan hastalarda ise üçüncü basamak tedavisi olan kemik düzeltme ameliyatı uygulanmaktadır. Yani başparmak ve tarak kemiği düzeltme operasyonu gerçekleştirilmektedir. Hastanın tipine göre doğru ameliyat yapılması durumunda Halluks Valgus’un tekrarlama ihtimali oldukça düşmektedir.
Hastalar kemik düzeltme ameliyatının ardından hastanede bir gece kalmakta ya da aynı gün taburcu edilebilmektedir. Ameliyat sonrasında şekil bozukluğunun derecesine göre genellikle alçı uygulaması yapılmamaktadır. Hastalar, üçüncü haftadan itibaren ayaklarının üzerine daha sağlıklı basabilmektedir. Ameliyatın birinci ayından sonra normal ayakkabı giyebilir, bir buçuk ay sonra da normal yürüyüşlerine başlayabilir. Uzun ve hızlı yürüyüşler ile koşu için 4 ay, futbol ve basketbol gibi sporların ise 6 ay beklenmesi gerekmektedir.
Ameliyattan sonraki hedef hastanın sağlıklı ve ağrısız yürüyebilmesi, en az 4 ay sonra ağrısız spor yapabilmesi ve özellikle kişilerin beğendikleri ayakkabıları rahatlıkla giyebilmesini sağlamaktır.










