Güncelleme Tarihi:

Covid-19’un vücudumuzda bıraktığı hasarlara dair sürekli yeni çalışmalar yapılıyor, yeni sonuçlar paylaşılıyor. Covid’in beyne uzun dönemde etkilerine dair çok önemli bir çalışma, önceki gün Nature dergisinde yayımlandı.
Covid enfeksiyonunun beyin üzerinde nasıl etkileri olduğunu ortaya koyan bu araştırmanın sonuçları ne yazık ki pek iç açıcı değil.
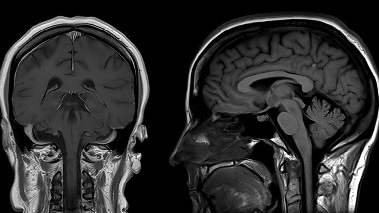
Enfeksiyondan önce ve sonra yapılan beyin taramaları, Covid geçiren kişilerde, geçirmeyenlere göre daha fazla gri madde kaybı ve doku hasarı olduğunu ortaya koydu.
BEYİNDE KÜÇÜLME, GRİ ALANLARDA AZALMA
Çalışma, İngiltere'deki genetik yatkınlığın ve hastalığın gelişimine çevresel maruziyetin ilgili katkılarını araştıran büyük bir uzun vadeli biyo-banka çalışması olan UK Biobank'ta785 katılımcıyı içeriyordu.
Yaşları 51-81 arasında değişen katılımcıların 401’i Mart 2020 ile Nisan 2021 tarihleri arasında Covid-19 enfeksiyonu geçirmişti ve 15’i (yüzde 4) hastanede yatarak tedavi görmüştü. 15 kişiden sadece 2’sinde yoğun bakım ihtiyacı gelişmişti. Kontrol grubu olarak kullanılan 384 katılımcı Covid-19’a yakalanmamıştı ve hasta grubu ile aynı yaş, cinsiyet ve Covid-19 risk faktörlerine (yüksek tansiyon, şeker hastalığı, sigara içip içmeme gibi) sahipti.
Tüm katılımcılara bu çalışma için ikinci bir beyin görüntüleme yapıldı. Hasta grubunda bu görüntüleme hastalık geçirdikten ortalama 141 gün sonraydı. Ayrıca hastaların bilişsel fonksiyonlarını değerlendirmek için bazı testler de gerçekleştirildi.
Araştırmada enfeksiyon öncesi görüntüleme yapılmış olması sonuçları daha da önemli hale getiriyor. Çünkü önceden var olan risk faktörlerinin hastalık etkileri olarak yanlış yorumlanma olasılığı azalıyor, etkilerin Covid-19 kaynaklı olduğu kesinleşiyor.
Enfeksiyon öncesi ve sonrasında çekilen beyin görüntüleri karşılaştırıldığında ise oldukça ilginç sonuçlar ortaya çıktı. Covid geçirenlerde;
-- Beyindeki gri madde miktarında belirgin azalma,
-- Orbitofrontal korteks ve parahipokampal girusta gri madde/ak madde kontrastında azalma,
-- Beyinde koku ile ilişkili olan primer olfaktör kortekste doku hasarını gösteren değişiklikler,
-- Beynin genelinde belirgin küçülme görüldü.
GRİ MADDE KAYBI DAHA FAZLA
Doğal yollarla yaşlanan insanlar her yıl beyinlerinde çok küçük bir gri madde parçasını kaybederler. Araştırmacılar, hafıza ile ilgili bölgelerde ortalama kaybın yılda yüzde 0,2 ile yüzde 0,3 arasında olduğunu söylüyor.
Ancak enfeksiyondan ortalama dört buçuk ay sonra yeniden beyin taramasından geçirilen katılımcıların beyinlerinde, Covid ile enfekte olmayan katılımcılara göre daha fazla gri madde kaybı yaşandı. Buna ek olarak, koronavirüs enfeksiyonu geçirenlerin beyin hacminde daha fazla küçülme ve belirli alanlarda daha fazla doku kaybı meydana geldi.
Beyin gri (gri cevher) ve ak maddeden oluşur. Gri madde beynin en önemli işlevlerini yöneten dış katmanında bulunur. Gri madde, çok sayıda hücre gövdesi ve nispeten az sayıda miyelinli akson içermesiyle ak maddeden ayırt edilirken, ak madde nispeten az hücre gövdesi içerir ve esas olarak uzun menzilli miyelinli aksonlardan oluşur. Canlı dokuda, gri madde aslında kılcal kan damarlarından ve nöronal hücre gövdelerinden gelen sarımsı veya pembemsi tonlarla çok açık gri bir renge sahiptir.
Gri madde, beynin nöronal hücre gövdelerinin çoğunu içerir. Gri madde, beynin kas kontrolü ile ilgili bölgelerini ve görme ve duyma, hafıza, duygular, konuşma, karar verme ve kendi kendini kontrol etme gibi duyusal algılarını da kapsar.y
HAFİF VAKALARDA DA GÖRÜLDÜ: Araştırmayı ilk okuyanlar “Bu etkiler ağır vakalarda görülmüştür” diye düşünebiliyor. Ancak durum maalesef oldukça farklı. Araştırmaya katılan ve Covid geçiren 401 hastanın sadece 15’i hastanede tedavi görenlerden oluşuyor. Yani hafif hastalarda da beyin hasarı riski söz konusu oluyor.
HALKI KORKUTMAK İSTEMİYORUZ
Yale Tıp Fakültesi'nde nörolojik enfeksiyonlar ve küresel nöroloji şefi olan Dr. Serena Spudich, araştırmanın bulgularıyla ilgili olarak, "Bana göre bu, Covid geçirenlerin beyinlerinde bir şeylerin değiştiğine dair oldukça ikna edici bir kanıt” dedi ancak önemli bir uyarıda bulundu:
“Bunun hastalar için uzun vadeli bazı klinik etkileri olduğu sonucuna varmak bence bir gerginliğe sebep olabilir. Halkı korkutmak ve 'Bu herkesin beyin hasarına uğrayacağının ve işlevini yerine getiremeyeceğinin kanıtı' diye düşünmelerine neden olmak istemiyoruz.”
Kendisi de Covid-19’un nörolojik etkilerini araştırmakta olan Dr. Spudich, "Ne kadarının kaybolduğu ve ne kadar genelleştirildiği anlamında şaşırtıcı buluyorum. Bu kadar çok yüzde değişimi görmeyi beklemiyordum” diye konuştu.
Araştırmanın baş yazarı, Oxford Üniversitesi klinik nörobilimler bölümünde profesör olan Gwenaëlle Douaud, çalışmadaki 15 kişinin Covid enfeksiyonunu hastanede tedavi görerek atlattığını, kesin veriler elde etmek için bu rakamın çok küçük olduğunu söyledi ve yine de önemli bir noktanın altını çizdi:
“Hastaneye yatan 15 kişinin beyin atrofisi, hafif derecede etkilenmiş hastalardan daha kötü durumdaydı.”
Covid-19’a yakalanan kişiler, karmaşık bir görevi yerine getirmede dikkat ve verimlilikle ilgili bilişsel bir testte enfekte olmamış insanlardan daha fazla düşüş gösterdi.
BULGULAR, BAZI UZUN COVID SEMPTOMLARINI AÇIKLAYABİLİR
Diğer yandan ekip, beyin hacmindeki ve performansındaki düşüşlerin sadece bir solunum yolu enfeksiyonunun yan etkileri olmadığını kontrol etmek için, Covid ile ilgisi olmayan zatürre geliştiren kişilerin beyinleri üzerinde de analiz yaptı. Benzer bir değişiklik bulunamadı.
Öte yandan uzmanlar, bu bulguların, enfeksiyondan sonra yaşanan uzun süreli Covid'in bazı semptomlarını açıklayabileceğini söylüyor.
Oxford Üniversitesi'nden Dr. Max Taquet, "Covid-19 enfeksiyonunun bazı insanlarda beyin sisi, tat ve koku kaybı, depresyon ve psikoz dahil olmak üzere nörolojik ve psikiyatrik sorun riskleriyle ilişkili olduğu biliniyor. Fakat bunun neden meydana geldiği büyük ölçüde bilinmiyor. Bu çalışma, bazı kişilerde Covid-19 sonrası beynin 'koku merkezine' bağlı beyin bölgelerinin küçülebileceğini göstererek bu önemli soruya ışık tutmaya başlıyor” dedi.
*Peki tüm bunlar ne anlama geliyor?
*Bu araştırmaya bakarak, Covid-19’un hafif ya da ağır atlatılması fark edilmeksizin beyne zarar verdiğini söylemek mümkün mü?
*Bu bulguların "uzun Covid" ile bir bağlantısı var mı?
*En önemlisi Covid-19 aşıları, enfeksiyonun beyne olan etkilerini azaltıyor mu?
DOKU HASARLARI ORTAYA ÇIKTI
Araştırmanın sonuçlarını yorumlayan Nöroloji Uzmanı Prof. Dr. Dilek Necioğlu Örken, “Bu MR taramaları Covid-19 geçiren kişilerin beyinlerinde belirgin büzülme kalıpları ortaya çıkardı. Kontrol grubu ile karşılaştırıldığında orbitofrontal korteks dediğimiz göz yuvalarının hemen üzerinde yer alan, duygu ve hafıza ile ilgili beyin alanlarından sinyaller alarak karar vermede önemli bir rol oynayan bölgede ve beynin ortasında yer alan ve hafıza ile ilgili bir yapı olan hipokampusu çevreleyen parahipokampal girusta gri madde kalınlığında ve doku kontrastında azalma saptandı” diyor ve ekliyor:
“Çalışmacılar burundaki koku algılayan nöronlardan alınan duyusal bilgiyi birincil koku korteksine götüren yapılarda da doku hasarını ortaya çıkardı. Bir diğer bulgu genel beyin boyutunda da küçülme görülmesiydi. Yapılan testlerde enfekte olmuş katılımcılar ayrıca iki zaman noktası arasında ortalama olarak daha belirgin zihinsel düşüş gösterdi. Beyin kabuğu dediğimiz gri madde bu sayılan alanlarda dikkat, hafıza, dil becerileri ve yürütücü işlevler gibi pek çok yüksek kortikal fonksiyonların işlendiği ve depolandığı alanlardır. Bunların kaybında artış bu işlevlerimizi bozabilir."
BUGÜNE KADAR BİLİNENLER AKUT VAKALAR İLE SINIRLIYDI
“Salgının en başından beri koronavirüs hastalığının nörolojik tutulum yaptığını biliyoruz” diyen Örken, Covid-19’un beyne olan etkileri hakkında şimdiye kadar kayda geçirilmiş olan bulguları şöyle sıralıyor:
-- Baş ağrısı ve baş dönmesi, tat-koku bozuklukları, görme sinirinin etkilenmesi, kas ağrısı ve serum kreatinin kinaz yüksekliği en sık görülen belirti ve bulgulardandır.
-- Sinir sistemi belirtileri sıklıkla daha ağır enfeksiyonlarda görülüyor. Damar hastalıkları içinde iskemik inme en sık görülen nörolojik komplikasyonlardan biridir.
-- Bugüne kadar Covid-19 ile ilgili beyin görüntüleme çalışmalarının çoğu akut vakalarda yapıldı. BT, PET veya MRG taramalarında ak madde lezyonları, beyin kanlanmasında azalma ve iskemik lezyonlar gösterildi. Ancak hastalık sırasında yapıldıkları için bulguların enfeksiyondan önce olup olmadığı kesin olarak bilinmiyordu.
-- İşte bu çalışmanın en önemli ve güçlü yönlerinden biri hastaların Covid-19 enfeksiyonu öncesinde beyin MR’larının çekilmiş olması ve karşılaştırmanın bu MR’lar ile yapılması.
ÇALIŞMANIN EN ÖNEMLİ SONUÇLARINDAN BİRİ: AĞIR YA DA HAFİF FARK ETMİYOR
Çalışmaya katılan 401 Covid pozitif kişiden sadece 15’i ağır hastaydı ve hastanede yatarak tedavi gördü. Yeni koronavirüsün beyne olan etkileri hastalığı hafif atlatanlarda da görülüyor. Buradan yola çıkarak, “Hastalığı ağır ya da hafif atlatmak önemli mi? SARS-CoV-2 her halükârda beyne zarar verebiliyor mu?” diye sorduğumuz Prof. Dr. Örken, “Bu çalışmanın önemli sonuçlarından biri de bu” diyor ve şunları söylüyor:
“Tüm grupta hafıza ile ilgili alanlarda beyin kabuğu kalınlığında azalma olduğunu söylemiştik. Bu bir ortalama sonuç, elbette hiç beyin etkilenmesi olmayan hastalar da var. Her ne kadar hastaneye yatan 15 hastanın beyin etkilenmesi daha fazla olsa da bu MR değişiklikleri ve bilişsel etkiler, hastaneye kaldırılan 15 vaka hariç tutulduktan sonra da hâlâ görülüyordu.”
OMICRON’IN KONUYLA BİR BAĞLANTISI VAR MI?
Omicron varyantı, Kasım ayından bu yana tüm dünyada baskın hale gelmiş durumda. Hal böyle olunca yayımlanan yeni araştırma sonuçlarından sonra akla gelen ilk sorulardan biri de “Bu durumda ‘Omicron hafif geçiyor, endişeye gerek yok’ düşünceleri rafa mı kalkıyor?” oluyor.
Ancak Dilek Necioğlu Örken, bu sorunun, yayımlanan çalışma sonuçlarına bakılarak cevaplanmasının doğru olmayacağını söylüyor: “Çünkü bu çalışma Mart 2020-Nisan 2021 tarihleri arasında yapıldı. Hastalarda enfeksiyonun orijinal SARS-CoV-2 ya da Alfa varyantı ile gelişmiş olma olasılığı yüksek. Sonradan ortaya çıkan Omicron gibi varyantların etkisi farklı olabilir. Bunun için yeni çalışmaların sonuçlarını beklemek lazım.”
Örken, Covid-19 aşılarının, koronavirüs enfeksiyonunun beyne olan etkilerini azaltıp azaltmadığı konusunda ise, “Bu sorunun cevabını verebileceğimiz bir çalışma henüz elimizde yok. Ancak aşıların ağır hastalık geçirmeyi ve yoğun bakıma yatışı azalttığını biliyoruz. Dolaylı olarak koruyucu olduğunu söylemek mümkün” diyor.
Ukrayna'dan kan donduran iddia! Buzdolapları ceset dolu...