Güncelleme Tarihi:
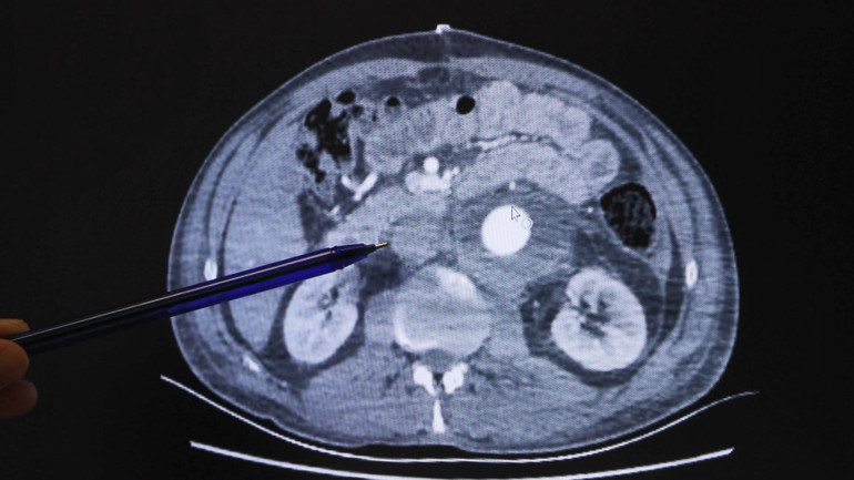
Adana'da yaşayan ve genetik bir hastalık olan Marfan sendromu taşıyan muhasebeci 48 yaşındaki Mehmet Kenger, sık sık boyun ağrısı yaşıyordu. İş arkadaşları Kenger'e doğum gününde masaj paketi hediye etti. Masaj için gittiği salonda masör, Kenger'in karnında bir şişlik fark etti. Kenger, 'Karın fıtığıdır ya da çok tarhana çorbası içiyorum, ondandır' diye düşünüp durumu önemsemedi. Eşinin ısrarıyla önce acile gitti, Kenger'i muayene eden doktor "Gazdandır ama yine de bir dahiliyeye görün" dedi. Kenger yine durumu önemsemedi. Ertesi gün ablası doktora gidip gitmediğini sormak için aradığında '15 günden önce randevu bulamam nasılsa' diye düşünerek MHRS'ye girdi. Tesadüfen 1 saat sonrasına randevu olduğunu gören Kenger, doktora gittiğinde gerçek ortaya çıktı. Karın bölgesindeki aort damarının çapı normalin 4 katına ulaşmış, yırtılma riski vardı. Üstelik genişleyen damar, böbreklerini de tehdit ediyordu. Acil ameliyat olması gerektiği, ameliyattan sonra böbreklerinin de iflas edebileceği söylendi. Kenger, Adana'daki doktorunun önerisiyle İstanbul'daki Mehmet Akif Ersoy Göğüs Kalp ve Damar Cerrahisi Eğitim ve Araştırma Hastanesi'ne geldi. Kalp Damar Cerrahisi Uzmanı Prof. Dr. Mete Gürsoy ve ekibinin gerçekleştirdiği ameliyatla hem aort damarı yapay damarla değiştirildi hem de ameliyat sırasında böbrekleri özel bir solüsyonla korunarak diyaliz hastası olmaktan kurtarıldı.
'DAMARIN YIRTILMAMASI ÇOK BÜYÜK BİR ŞANS'
Prof. Dr. Mete Gürsoy, "Hastamızın anevrizması diğer anevrizmalardan biraz farklıydı. Böbrek atardamarlarını da içerdiği için yüksek riskli bir anevrizma olarak tanımlanmıştı. Gördüğümüzde zaten fiziksel özelliklerinden görünümünden Marfan sendromlu olduğunu anladık. Yaptığımız incelemelerde, hastanın karnında yaklaşık 8,5 santim genişliğinde ve böbrek damarlarının üzerine kadar uzanan çok riskli ve cerrahi açısından özel teknikler gerektiren bir anevrizma saptadık. Ekip arkadaşım Dr. Salih Gülen ile beraber böbrek arterlerini özel bir solüsyonla koruyarak, böbreklerinin üstünden itibaren aort damarını yapay damarla değiştirdik" dedi. Kenger'in aort damarının 8,5 santime ulaşmasına rağmen yırtılmamış olmasının çok büyük bir şans olduğuna da dikkat çeken Prof. Dr. Gürsoy, “Hatta hiçbir semptom vermeden tesadüfen saptanmış rahatsızlığı. Cerrahi teknik başarılı olsa da ömrünün geri kalanında diyalize mahkum olabilirdi. Bunu engellemek için özel teknikler kullanılıyor. Dünyanın pek çok merkezinde farklı teknikler kullanılıyor. Biz bu hastada böbrek damarlarını ayırarak böbreğin içine organ koruma solüsyonu verme tekniğini tercih ettik" diye konuştu.
ABLASI VE KIZI DA TAKİP EDİLECEK
Marfan sendromunun genetik geçişli bir hastalık olduğunu ve hastaların büyük çoğunluğunun kalp damar hastalıklarına bağlı olarak kaybedildiğini de vurgulayan Prof. Dr. Gürsoy, sözlerini şöyle noktaladı: “Marfan sendromu genetik geçişli bir bağ doku hastalığı. Ortalama 5 binde 1 ila 10 binde 3 arasında görülüyor. Kardiyovasküler sistem, kas iskelet sistemi ve göz, oküler sistem dediğimiz sistemlerde belirti veriyor. Hastaların yaklaşık yüzde 90'ı kardiyovasküler hastalıklardan dolayı kaybediliyor. Bunların yüzde 70'i aort patolojileri ve buna bağlı yırtılma nedeniyle ölüyor. Uzun boy, omurga defektleri, çok uzun el ve ayak parmakları ya da göz bozukluğuyla hastalar doktora başvuruyor. Ailede bir Marfan sendromlu birey olması, ailenin diğer fertleri açısından da risk teşkil ediyor. Mesela biz hastamızı gördükten sonra hemen ablasına da EKO yaptırarak kontrol ettirdik. Kızı için de genetik danışmanlık mutlaka alacak. Marfan sendromlu bireylerde genetik durumu ortaya koyarak doğacak çocuklarla ilgili tedbirler almak mümkün."
9 YIL ÖNCE DE TESADÜFEN TEDAVİ OLDU
Hayatı bir değil, iki kez şans eseri kurtulan Mehmet Kenger ise ilk tesadüfü 2015 yılında kalp ameliyatı geçiren annesini doktor kontrolüne götürdüğünde yaşadığını söyledi. Kenger, tesadüflerin hayatını nasıl kurtardığını şöyle anlattı: “Annem kalp ameliyatı olmuştu. 'Oğlum bizim ailede ırsi, sen de bir kontrol ol' dedi. Onun ısrarıyla kontrol olduğumda aort damarımın 4,9 santim ulaştığı, 6 ay sonra kontrol ettir dediler. 6 ay sonra başka bir yere gittim bu kez 5,6 gibi bir rakam çıkardılar. Adana Şehir Hastanesi'nde acilen ameliyat oldum. O günden bugüne herhangi bir sıkıntı yaşamadım. Sürekli bilgisayar başında çalıştığım için masaj yaptırmaya gidiyordum. Bir gün doğum günümdü. İş arkadaşlarım bana hediye verdiler, masaj için bir otelden paket satın almışlar. Otelde masaj yapıyorlardı. Masör arkadaş 'Senin karnında bir şişlik var' dedi. Fıtık olabilir diye düşündüm; bir de tarhanayı fazla yiyordum. Acaba ondan beze mi oldu diye düşündüm. Eşimin ısrarıyla acile gittim ama acilde gaz var dediler. Yine de bir dahiliyeye görünsen iyi olur dedi. Ben önemsemedim ve gitmedim."
'HAYATTA KALMAM MUCİZE GİBİ'
Ertesi gün iş yerindeyken ablasının aradığını söyleyen Kenger, sözlerini şöyle sürdürdü: " Kız kardeşim doktora gidip gitmediğimi sordu. Ben de randevu bulamam, en az 15 gün sonrasına verirler dedim. O anda telefon elimdeydi MHRS'ye girdim. Tesadüfen 1 saat sonra dahiliyede randevu buldum. Hemen gittim. Doktor EKO çektirdi. EKO muayenesini yapan doktor, 'Sizin kalp damar cerrahisine görünmeniz lazım' dedi. Saat 16.30, mesai bitmek üzere. Kalp damar cerrahı çıkmadan görüştüm. BT çektir dedi. Şansımdan herhalde, çok kısa zamanda bunlar gelişti. 'BT riskli duruyor. Böbrekler riska altında. Bizim uzmanlık alanımızı aşıyor' dedi. İlk söyledikleri isim, İstanbul'daki Mehmet Akif Ersoy Hastanesi oldu. 8 santimlik bir anevrizmanın vücudumda olması ve benim o şekilde hayatta kalabilmem, masör arkadaşın bunu tesadüfen fark etmesi benim hayatımı kurtardı. Gerçekten de mucize gibi birşey oldu."


