Güncelleme Tarihi:

Avustralya Queensland ‘de yaşayan 21 yaşındaki sağlıklı bir sağlık görevlisi Tina Holt, 2016 yılında bir sabah bir arkadaşıyla brunch'tan eve dönerken aniden baş ağrısı yaşamaya başladı. Görünüşte zararsız bir baş ağrısı olarak başlayan bu ağrıdan dakikalar sonra Tina’nın vücudu ile beyninin iletişim kuramadığını, telefonunun ekranını kaydırarak açamadığını fark etti.
GÜLÜMSEYEMEYİNCE FELÇ GEÇİRDİĞİNİ ANLADI
Felç Vakfı’na konuşan Tina, kendisi gibi sağlık görevlisi olan arkadaşının da bir şeylerin ters gittiğini fark ettiğini, ondan gülümsemesini istediğini, gülümseyemeyince felç geçirdiğini anladıklarını söyledi.
Oturduğu yerden ayağa kalkmaya çalıştı ama yere yığılmadan önce sadece iki adım atabildi.
Konuşamayan ya da hareket edemeyen Tina, kusmuştu ancak bilinci yerinde olmasına rağmen vücudu tepki veremiyordu.
Arkadaşı hemen bir ambulans çağırdı ve sağlık görevlileri geldiğinde, arkadaşının herhangi bir uyuşturucu madde etkisinde olmadığını açıklamasına rağmen, aşırı dozda uyuşturucu aldığına dair geçici bir teşhis koydular.
Tina hastaneye götürülürken bilincini kaybetmiş ve durumu daha da kötüleşmişti.
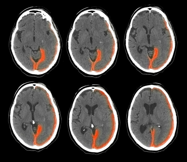
Bilgisayarlı Tomografi taramasında beyin kanaması tespit edilince acilen helikopterle Brisbane'deki yoğun bakım ünitesine kaldırıldı.
Genç kadının ailesine hayatta kalamayabileceği, hayatta kalsa bile bunun kalıcı bir etkisi olacağı söylendi.

7 AY HASTANEDE KALDI
Tina, sonraki beş günü bilinci kapalı bir şekilde, sonraki 10 günü yoğun bakım ünitesinde, sonraki yedi ayı da bir dizi hayat kurtarıcı ameliyat ve prosedürler hastanede geçirdi.
Prosedürlerden biri, beyinde oluşan basıncı azaltmak için bir beyin omurilik sıvısı drenajının yerleştirilmesini içeriyordu. Ancak beyin sapındaki kanama ameliyat için çok genişti.
Tina, üç aydan fazla bir süre boyunca hayatta kalmak için bir beslenme tüpüne bağlı yaşadı. Yüz siniri ve kas transferleri ve sol gözünde birden fazla prosedür de dahil olmak üzere çeşitli ameliyatlar geçirdi.
21 yaşında bir tarafı felçli kaldı, konuşamaz, yemek yiyemez ve hatta yardım almadan tek başına hareket edemez hale getirdi. Sürekli yorgun düşüyordu ve yüzünün sağ tarafında nadir görülen bir tümör gelişmişti.
Su içmek gibi basit bir eylem bile inanılmaz derecede zorlayıcı hale gelmişti. Nasıl hareket edeceğini, güç kazanacağını ve dengesini yeniden nasıl kazanacağını öğrenmek zorunda kaldı.
Bir zamanlar zinde ve aktif olan genç kadın, duygusal olarak başka bir savaşla karşı karşıya olduğunu itiraf etti. Tina, rehabilitasyonunun ömür boyu sürecek bir süreç olduğunu ve iki yıl süreceğini düşündüğü rehabilitasyonun şimdi dokuz yıl sürdüğünü itiraf etti.
“Fiziksel kısıtlamalarım eskiden olduğum kişiyle tam bir tezat oluşturuyordu” diyen Tina, şu anda tekerlekli sandalyede olmasına rağmen, spor salonunda antrenman yapmak, yüzmek ve bisiklete binmek de dahil olmak üzere yoğun bir rehabilitasyon sürecinden geçiyor.
Tina, sağlık görevlisi olarak çalıştıktan sonra doktor olma hayali kuruyordu ancak geçirdiği felç geleceğini de değiştirdi.

BAŞ AĞRISI DIŞINDA BAŞKA HİÇBİR BELİRTİ VERMEDİ
Sosyal medyadaki takipçilerine yaptığı açıklamada, felç geçirmeden yaklaşık beş dakika önce ortaya çıkan baş ağrısı dışında pek fazla belirti ya da semptom yaşamadığını ifade etti.
FELÇ HER YAŞTA BAŞINIZA GELEBİLİR
Yayınladığı bir videoda, “Bilişsel eksiklik olmadan hayatta kaldığım için şanslıydım, ancak yapmayı sevdiğim şey diğer insanlara ilham vermek, hikayelerini paylaşmak ve aynı zamanda diğer insanları felcin belirti ve semptomlar konusunda eğitmek. Ayrıca felcin sadece yaşlıların başına geldiğine dair önyargılı fikirlere meydan okumak istiyorum. 'Felç her yaşta başınıza gelebilir ve benimki tamamen beklenmedik bir anda oldu.” dedi.
NHS verilerinin yakın zamanda yapılan bir analizi, 39 yaş altı erkekler arasında felçlerin son 20 yılda neredeyse dörtte bir oranında arttığını ortaya koyuyor. Aynı yaştaki kadınlarda yaşamı tehdit eden ataklar ise yüzde bir oranında arttı.
Kaynak: Daily Mailİnme, beyne giden kan akışının kesilmesi ve beyin hücrelerinin ölmesiyle meydana gelir. Hasar uzun süreli sakatlığa yol açabilir ve insanların düşünme ve hissetme biçimlerini etkileyebilir.En yaygın neden, iskemik inme olarak bilinen beyni besleyen arterleri tıkayan yağ birikintileri veya kan pıhtısıdır. Bu, kan damarlarının zamanla plaklar tarafından daraltıldığı veya tıkandığı kardiyovasküler hastalık nedeniyle olur. Bunlar, ateroskleroz olarak bilinen bir süreçte arter duvarlarında biriken kolesterol, kalsiyum ve diğer maddelerden oluşur.
Hemorajik inme olarak adlandırılan diğer atak türü ise beyinde bir kan damarı hasar aldığında ve kanı organa sızdırmaya başladığında meydana gelir.
Felç, Birleşik Krallık'ta en çok ölüme yol açan dördüncü hastalıktır ve engelli olmanın önde gelen nedenlerindendir. Felç, her beş dakikada bir olmak üzere yılda 100.000'den fazla İngiliz'i etkiliyor ve 38.000 kişinin hayatına mal oluyor. Resmi verilere göre, potansiyel olarak ölümcül olan bu durumdan mustarip olan 50 ila 59 yaş arasındaki kişilerin sayısı son 20 yılda yüzde 55 artmıştır.
Kaynak: Daily MailÜLKEMİZDE HER YIL 45 BİN KİŞİ İVME KAYNAKLI HAYATINI KAYBEDİYOR
Nöroloji uzmanı Dr. Öğr. Ü. Halide Rengin Bilgen Akdeniz, felcin neden gençlerde de sıklıkla görülmeye başlandığı konusunda şunları söyledi:
“İleri yaş inmelerde giderek artan oranda bir sıklık görülmekte, ancak 50 yaş altı genç inmelere bakıldığında verilerde stabil bir seyir seyrettiği gözleniyor. Türkiye’de inme geçiren hastaların sayısı birkaç milyon olup, giderek bu sayı artıyor. Yıllık 45 bin kişi inme kaynaklı yaşamını kaybediyor.”
Akdeniz, her yaşta inme geçirme riskini arttıran sebepler içinde, hipertansiyon, diyabet, kolesterol yüksekliği, obezite, sigara kullanımı, kalp hastalıkları, ailede inme geçirme/kalp damar hastalıkları öyküsünün olması, hareketsiz yaşam, düzensiz uyku, stres gibi özellikleri sıraladı.
Bazen bu risk faktörlerinin olmadığı genç yaşta görülen inmelerde (50 yaş altı) ise daha farklı faktörlerin etkili olabileceğini belirten Akdeniz, bu etkenleri sıraladı:
“Genetik özellikler; kullanılan ilaçlar (örneğin oral kontraseptifler), gebelik ve postpartum dönem gibi, kanda pıhtılaşmaya eğilimin arttığı durumlar, travmaya bağlı ya da bağ doku hastalıklarında görülen damar duvarı yırtılmaları, bazen sadece sinir sistemini etkileyen otoimmün hastalıklar, çocukluk-genç erişkin dönemde görebildiğimiz bazı kalp hastalıkları ve buna bağlı gelişen durumlar genç yaşta inmenin nedeni olarak görebilir. Genç yaş inmelerde genetik faktörleri, inme sebebi olarak biraz daha ön planda görüyoruz.”

Gençlikte inme geçirmek farklı hastalıkları tetikler mi?
“İnme geçiren bir kişide yapılması gereken ilk tedaviler, inme tedavisinin yönetimi, sonrasında gelişebilecek komplikasyonlar ve bunlara yönelik yapılan tedaviler, genç ya da ileri yaş inmelerinde belirgin farklılık gösterir.” diyen Akdeniz, inmede hangi yaş olursa olsun, konuşmada bozukluk, yüzde kayma, kol ve bacakta güç kaybı gibi yeni gelişen bir nörolojik semptom olduğunda hiç vakit kaybetmeden 112’ye haber verilmesi ve böylece hastaya müdahalenin yapılabileceği bir merkeze bir an önce ulaştırılmasının hayati önem taşıdığını belirtti ve ekledi:
”İnmede akut tedaviler ne kadar hızlı yapılabilirse o kadar iyi sonuçlar alabilmekteyiz. Beyin hücrelerinin maalesef kan akımı azlığına, oksijensizliğe dayanıklılığı çok azdır. O nedenle burada genç/ileri yaş demeden bu tür semptomlar varlığında, hızlı tedavi tek önemli şeydir".
Akut tedavileri yaptıktan sonra, inmenin nedeniyle ilgili ileri araştırmaları yapılır ve inme geçiren kişide, tekrarlayan inmeyi önleyebilmek için tedavi belirlenir.”
PARMAKLARA VE KULAK MEMESİNE İĞNE BATIRMAK İŞE YARAR MI?
Halk arasında felç geçiren kişinin parmaklarına ya da kulak memesine iğne batırarak ilk yardım yapılmasının felci önlediğine dair bir bilgi var. “Bu bir şehir efsanesi mi?” diye sorduğumuz Nöroloji uzmanı Dr. Öğr. Halide Rengin Bilgen Akdeniz, sorumuza şöyle yanıt verdi:
“Felç geçiren hastada parmaklarına veya kulak memelerine iğne batırmak, üzerine su dökmek gibi yapılan şeylerin hiç faydası yok, tamamen şehir efsanesi, zararı ise hastaya vakit kaybettirmek. Tek tedavi damar tıkanıklığına bağlı bir inmede, tıkanan damarı akut ilaç tedavisi ile veya anjiografik girişimle açmaktır. Bunun için de hızla 112 ‘yi arayarak bir inme merkezine hastanın acil şekilde götürülmesi gerekir."
İnme riskini azaltmak mümkün mü?
Ailede inme/kalp krizi/ bacak damar tıkanıklık problemleri gibi sorunlar yaşayanlar çoksa, beyin kanaması öyküleri olanlar varsa, genetik faktörler etkili olabileceğinden bu açıdan, hiç inme geçirmemiş bu kişilerin kontrollerinin mutlaka bir nöroloji uzmanı tarafından yapılması gerektiğini belirten Akdeniz, bunun dışında riski azaltmak için dikkat edilmesi gerekenler hakkında şunları söyledi:
“Öncelikle felci önleyecek risk faktörlerini ortadan kaldırabilmek, mümkün olduğunca hayatı bu yönde düzene sokabilmek gerekir. Bu da sağlıklı beslenme, hareketli yaşam, sigara ve stresten mümkün olduğunca uzak kalma, uyku düzeninin sağlanması, hipertansiyon, diyabet gibi mevcut hastalıkları düzenli ilaç ve doktor takibi ile kontrol altında tutabilmek gerekir.”

