Güncelleme Tarihi:

Ashley, geçen sonbaharda bacağındaki ağrı yürüyemeyecek kadar şiddetlendiğinde bir şeylerin ciddi şekilde ters gittiğini hissetti. MR çektirmek ve daha sonra yaşadığı Los Angeles'taki bir onkologdan randevu almak istedi.
“Ayaktaysam keskin bir ağrı oluyordu. Eğer uzanırsam, donuk ve zonklayıcı bir ağrı olurdu,” diyen Ashley, ağrının ayak bileğinden dizine kadar uzandığını da sözlerine ekledi.
Başlangıçta, bir doktor sadece bir bağ yırtığı olabileceğini söyledi ve fizik tedavi önerdi. Ancak Ashley bir şeylerin gerçekten ters gittiğinden emindi ve bunun yerine bir MR yapılmasını istedi. Ne yazık ki, alabileceği en erken MR randevusu bir ay sonraydı. Bu nedenle Ashley'nin bu süre zarfında hayatına devam etmeye çalışmaktan başka seçeneği yoktu. Ancak kasım ayının sonunda Portekiz'e yaptığı bir gezide ayağı takıldı ve aniden ağrısı daha da arttı.

'BACAĞIMIN KIRILDIĞINA İKNA OLDUM'
,“Bacağımın kırıldığına ikna olmuştum. Gerçekten yürüyemiyordum.Ama aynı zamanda bunun muhtemelen kırık bir kemikten daha kötü olduğundan da emindim.” diyen Ashley, kayak, snowboard, kaya tırmanışı gi aktiviteler yapıyordu ve bu aktiviteler nedeniyle vücuduna oldukça ağır hasarlar vermişti. Bu yüzden kırık bir kemiğin acısını oldukça iyi biliyordu. Kırık acısına yakın bir şeydi ama tam olarak aynı değildi.
Portekiz'deki doktorlar da ona yardımcı olmadılar ve yaşadığı bu rahatsızlık ile ilgili en net cevabı verecek MR için uzun süre beklemesi gerektiğini söylediler.
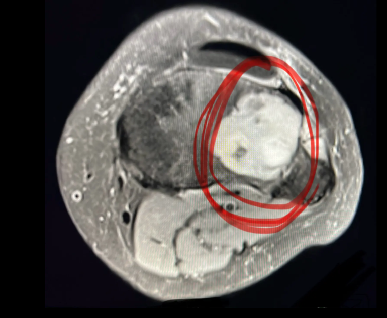
Havaalanında tekerlekli sandalye kullanarak Los Angeles'a geri döndü ve nihayet aralık ayının ortalarına doğru MR'ını çektirdi. Sonuçlar ürkütücüydü: Bacağının içinde devasa bir tümörün büyüdüğü gün gibi ortadaydı ancak MR görüntüsünde onu görmesine rağmen, bunu kendisine açıklayacak birini bulmak ve sağlığı için atması gereken sonraki adımları öğrenmek için savaşmak yine savaşmak zorunda kaldı.
Onkoloğu görmek için bir aydan fazla beklemesi gerektiğini ve ocak ayının sonuna kadar randevu alamayacağını söylediler. Yan bir buçuk ay boyunca bacağında bir tümörle dolaşmasını istiyorlardı ve kanser olup olmadığını öğrenmek için bir ay beklemesi gerekiyordu.
DOKTORLARA RESMEN YALVARDI
Gözyaşları içinde, onkoloğun ofisini arayarak noelden önce onu görmeleri konusunda yalvardı ve sonunda ikna etti.
İşte o zaman herkes nihayet onu ciddiye almaya başladı. Ashley'nin The Post'a anlattığına göre, MR sonuçlarına bakan doktor ona “çok büyük” bir dev hücreli bir tümöre sahip olduğuna düşündüğünü söyledi.
Fotoğraf: instagram
‘TÜMÖR KEMİĞİMİ YİYORDU BUNU HİSSEDİYORDUM’
Ashley “Bacağımı kaybetmek istemiyordum çünkü tümör kemiğimi yiyordu. Bunu hissedebiliyordum. Kaval kemiğimi tehlikeye atıyordu ve büyümeye devam edecekti.” dedi.
Aylar sonra nihayet kendisine agresif ve milyonda bir görülen bir tümörü olduğu ve derhal alınması gerektiği, aksi takdirde içinde büyümeye devam edeceği söylendi.
Dev hücreli tümörler kelimenin tam anlamıyla milyonda bir görülen bir hastalıktır. Amerikan Ortopedik Cerrahlar Akademisi'ne göre, sadece 1 milyon kişiden birinde görülür. Bu tümörler kanser olmamalarına rağmen çok agresiftirler ve tedavi edilmezlerse büyümeye devam ederler. En sık bacaklarda, diz eklemi yakınında görülürler ve çevredeki kemikleri de tahrip edebilirler.
Ashley, nihayet 13 Ocak'ta ağrıları başladıktan iki ay sonra tümörü çıkarmak için iki saatlik bir ameliyat geçirdi. Cerrah ayrıca kemiğinde tümörün neden olduğu çatlakları doldurmak için kemik çimentosu kullandı.
Kemik çimentosu, akrilik yani polimetilmetakrilat denilen maddeden üretiliyor ve yaklaşık 60 yıldır ortopedi alanında kullanılıyor. Protez ameliyatlarında, kemik tümörlerinin tedavisinde, bazı kırıklarda ve bel kemiği çökmelerinde kullanılan bu madde 15 dakika gibi kısa bir sürede donar.
YENİDEN ÇIKABİLİR
Ashley, şimdi iyileşiyor ve yeni bir dev hücreli tümör ortaya çıkmaması için hayatının geri kalanında doktor kontrollerine ihtiyaç duymaya devam edecek.
“Tüm bunlar olduğunda, doktoru ısrarla aramak ve her şeyin üzerine gitmek konusunda çok kararlıydım. Ve sonra kaç kişinin bunu yapmayı bilmediğini fark ettim.” diyen Asley'e bu farkındalık sosyal medyada sağlığı hakkında paylaşım yapması konusunda ilham verdi. Tümörüyle ilgili bir video paylaştı ve yaklaşık üç milyon kez görüntülendi.
Peki, dev hücreli kemik tümörleri nasıl kırıklar ile nasıl karıştırılıyor?
Ağrı dışında başka belirti veriyor mu?
Dev hücreli kemik tümör kanser midir?
Kemik kanserinden farkları nelerdir?

'ELMA KURDUNUN ELMAYI İÇTEN KEMİRMESİ GİBİ'
Ortopedi ve Travmatoloji Uzmanı Dr. Tarık Elma, kemiklerde görülen dev hücreli tümörlerin aslında kötü huylu kanserlerden olmadığını fakat iyi huylu tümörler olmasına rağmen bulunduğu kemikte aynen bir elma kurdunun elmayı içten kemirmesi gibi bulunduğu kemiği içten çürütmeye ve inceletmeye başladığını söyledi.
VÜCUDUN BAŞKA YERLERİNE YAYILMAZ
Dev hücreli tümörleri diğer kötü huylu kanserlerden ayıran en önemli özelliğin kötü huylu kanserler gibi vücudun başka yerlerine yayılmamaları ve sadece bulunduğu kemikte çürüme yapması olduğunu belirten Dr. Tarık Elma, dev hücreli tümör olan hastaların, genellikle tümörün bulunduğu kemikte ağrı ve şişlik şikâyeti ile doktora başvurduklarını, bu sebeple kırık veya incinmeyle sıklıkla karışabileceğini ifade etti.
Elma, burada erken tanının çok önemli olduğunu, çünkü bazen hastalanan kemiklerdeki bu ağrılarını önemsemezse bu tümörün kemiği içten içe yiyerek zayıflatacağını ve kemiğin içini boşaltacağını, içi boşalan kemiğin de çok ufak bir darbede veya ani bir hareket sonucunda ciddi şekilde kırılabileceğinin altını çizdi. Erken tanı konması durumunda ise tedavisinin oldukça basit olduğunu ve yapılacak cerrahi müdahaleler ile tümörün temizlenerek kemiğin tekrar güçlendirilebileceğini sözlerine ekledi.
Dev hücreli tümörler sonrası meydana gelen kırıklarda hasta öyküsünün de çok önemli olduğuna dikkat çeken Elma, bunun nedenini şu sözlerle açıkladı.
“Hastalar genellikle çok küçük bir travma sonrası veya bazen de ani bir hareket sonrası ciddi kırık oluşumundan bahsederler. Bu durumlarda mutlaka kemikte dev hücreli bir tümör olabileceği akla gelmeli ve gerekirse ileri görüntüleme tetkikleri ile bu durum araştırılmalıdır. Kırık ameliyatı sırasında kemikte tümör olduğunu bilmek yapılacak cerrahi müdahalenin şeklini değiştirebilir.”

