Güncelleme Tarihi:
Geçmişte büyük salgınlara ve ölümlere yol açan verem, günümüzde kontrol altına alınmış gibi görünse de hâlâ önemli bir halk sağlığı sorunu olmaya devam ediyor. Bağışıklık sistemi baskılanmış bireylerde hastalık yeniden artış gösterebiliyor, erken tanı hem bulaşıcılığı önlüyor hem de tedavi başarısını artırıyor.
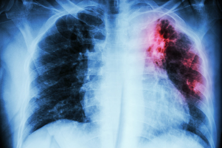
Verem, tüberküloz basili adı verilen bakterinin neden olduğu enfeksiyöz bir hastalıktır. Bu hastalık genellikle yavaş başlar, haftalar hatta aylar içinde ilerler. Aslında zatürenin daha sinsi seyreden bir alt tipi gibi düşünebiliriz. Zamanla akciğerlerde kalıcı hasara yol açarken tedavi edilmediğinde ölümcül sonuçlara sebep olabiliyor.
Tüberküloz özellikle kapalı alanlarda ve uzun süreli temasla bulaşıyor. Vücuda mikrop girdikten sonra kişilerin yaklaşık yüzde 95’i bağışıklık sistemi sayesinde hastalığı baskılar. Ancak yüzde 5’lik bir grupta hastalık aktif hale gelir ve bulaştırıcılık başlar. Aktif hastalık geliştiğinde kişinin hem kendisi hem de çevresi için ciddi risk oluşturuyor.
Son yıllarda bağışıklık sistemini baskılayan kanser tedavileri, romatolojik ilaçlar ve bazı kronik hastalıklar nedeniyle tüberküloz vakalarında yeniden artış görülüyor. Tüberküloz bir ülkenin sağlık sistemiyle doğrudan ilişkilidir.
Sağlık sistemi güçlü ve düzenli çalışan ülkelerde tüberküloz neredeyse tamamen kontrol altına alınmıştır. Türkiye de bu ülkeler arasında yer alıyor. Ancak bağışıklık baskılayıcı tedavilerin artması nedeniyle dikkatli olmak zorundayız.
Tüberkülozun tedavisi Türkiye’de genellikle 6 ila 9 ay sürüyor. Tedavi düzenli ve eksiksiz uygulandığında hastaların büyük çoğunluğu tamamen iyileşir. Ancak tedavi yarım bırakılırsa dirençli tüberküloz gelişebilir. Bu da çok daha uzun ve zor tedaviler anlamına gelir.
Uzun süren öksürük, balgamda kan görülmesi ve açıklanamayan kilo kaybının tüberkülozun erken belirtileri olabilir. Bu şikâyetler her zaman kanser anlamına gelmez. Tüberküloz da bu belirtilerle karşımıza çıkabilir. Bu nedenle erken dönemde mutlaka bir uzmana başvurulmalıdır.






