Güncelleme Tarihi:
Bu yıl zatürre, iki ünlü Hollywood yıldızının ölüm belgelerinde de yer aldı. Nisan ayında 65 yaşında hayatını kaybeden Val Kilmer ve Ekim ayında 79 yaşında vefat eden Diane Keaton, zatürrenin halen ciddi bir risk olduğunu bir kez daha gözler önüne serdi.
Geçen ay da 63 yaşındaki girişimci Wayne Lineker, Dubai’de kaptığı bir virüs nedeniyle zatürre riskiyle karşı karşıya olduğunu açıkladı. Hastanede tedavi gören Lineker, iyileşme sürecinin aylar sürebileceğini belirtti.
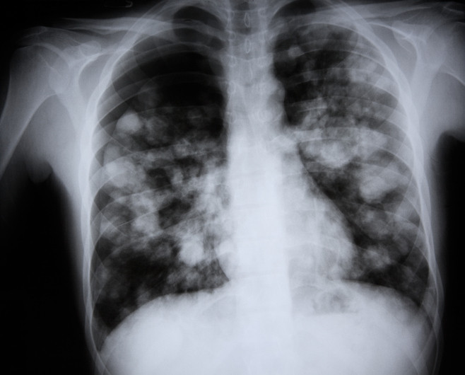
Zatürre, akciğerlerdeki küçük hava keseciklerini etkileyen bir göğüs enfeksiyonu olarak tanımlanıyor. Hastalar nefes almakta zorlanabilir, bazı durumlarda kan öksürebilir veya solunum cihazına bağlı olarak yaşam mücadelesi verebilirler. İngiltere ve Galler’de 2024 yılında 23.061 kişinin yaşamını yitirdiği istatistiklerde, zatürre ve grip birlikte ölüme neden olan en önemli faktörler arasında gösteriliyor.
Norwich Tıp Fakültesi’nden Profesör Paul Hunter, Daily Mail’e yaptığı açıklamada, “Pnömoninin birçok türü var, ancak pnömokok zatürresi genellikle gripten sonra ortaya çıkan bakteriyel bir enfeksiyondan kaynaklanıyor. Asıl büyük sayı, gripten iyileşirken gelişen zatürreden ölen insanlar” dedi.
Hunter, grip virüsünün üst solunum yollarına saldırarak, bu bölgedeki mikroskobik tüyler olan siliyalara zarar verdiğini ifade etti. Bu tüyler, akciğerlerdeki alveol adı verilen hassas hava ceplerine yerleşen bakterileri ve zararlı parçacıkları uzaklaştırmakla görevlidir. Siliyalara zarar gelmesiyle akciğerler bakterilere karşı savunmasız hale gelir. Alveoller enfekte olduğunda sıvı, kan veya irinle dolar ve oksijenin kan dolaşımına geçmesi neredeyse imkânsız hale gelir.
Zatürre, geçmişte özellikle yaşlılar arasında ölümcül olarak görülüyordu; ancak günümüzde sağlık sorunları olan herkes için ciddi bir risk oluşturuyor. Avrupa’nın yaşlanan nüfusu ve yeni bir “mutant grip” dalgası, zatürreye yakalanma riskini her zamankinden daha ciddi bir sorun hâline getiriyor.
Reading Üniversitesi Hücresel Mikrobiyoloji Bölümü’nden Dr. Simon Clarke, Daily Mail’e yaptığı açıklamada, “Zayıf durumda daha uzun yaşıyoruz ve bu da zatürreye yakalanma olasılığımızı artırıyor. Yaşlıların bağışıklık sistemleri zayıf ve gençler kadar aktif nefes almıyorlar. Hareketsizlik, zatürre riskini yükseltiyor” dedi.
Dr. Clarke, risk faktörleri arasında uzun süreli solunum cihazı kullanımı gibi durumların da bulunduğunu belirterek, “Entübe edilen birçok kişide göğüs enfeksiyonu gelişiyor” ifadelerini kullandı.
Zatürre sadece bakteriyel veya viral enfeksiyonlardan kaynaklanmaz. Norwich Tıp Fakültesi’nden Profesör Paul Hunter, bunun birçok farklı şekilde ortaya çıkabileceğini açıkladı:
Tüberküloz veya boğulma tehlikesi geçirme gibi durumlar
Kusmuğun ağızdan akciğerlere çekilmesiyle oluşan inhalasyon pnömonisi
Bağışıklık sistemi ciddi şekilde zayıf olan kişilerde mantar enfeksiyonlarının neden olduğu Pneumocystis pnömonisi
Dr. Clarke, “Zatürre tek bir mikrobun neden olduğu bir enfeksiyon değildir. Alt solunum yollarında iltihaplanma olduğunda ve nefes alma yeteneğini bozduğunda ortaya çıkan bir dizi semptomu kapsar” dedi.
Zatürre belirtileri arasında hırıltı, öksürük ve akciğerlere yeterli hava girememe bulunur. Bu durum, hayati organların temel işlevlerini yerine getirmesini zorlaştırır. Zatürreye bağlı en ciddi komplikasyon ise sepsistir; kanın enfekte olup toksik hale gelmesi, çoklu organ yetmezliğine ve ölüme yol açabilir.
Dr. Clarke, “Zatürreye yakalanan herkes sepsisten etkilenmez. Ancak akciğerlerde çok fazla bakteri veya virüs varsa, bunlar kan dolaşımına girerek ciddi risk oluşturabilir” dedi.
Günümüzde zatürreye karşı birçok tedavi yöntemi mevcut. Her vaka hastanede yatmayı gerektirmez. Dr. Clarke, “Enfeksiyonun nedeni ve kişinin genel sağlık durumu, hastaneye yatıp yatmayacağınızı belirler. Daha sağlıklı kişiler genellikle iyileşebilir” ifadelerini kullandı.
Antibiyotikler, bakteriyel enfeksiyonlarda etkili olurken, viral zatürrede vücudun bağışıklık sisteminin doğal savunması önemlidir. Dr. Clarke, zatürrenin ölümcül olduğu algısının yanlış olduğunu belirterek, “Zatürre, tek bir böcekten kaynaklanan ölümcül bir hastalık olarak görülüyor, oysa bu bir dizi semptomdan oluşuyor” dedi.
Zatürreye yakalanma riskini artıran faktörler arasında yaş, sigara kullanımı, obezite ve hareketsizlik bulunuyor. Dr. Clarke, “Yaş gibi değiştirilemeyen riskler var, ancak yaşam tarzı değişiklikleriyle riskinizi azaltabilirsiniz” diye konuştu. Özellikle sigara bırakmak, düzenli egzersiz yapmak ve sağlıklı bir kiloyu korumak, zatürreye karşı alınabilecek en etkili önlemler arasında.
Zatürreye yakalanıp iyileşen kişilerin tekrar hastalanma riski genellikle düşüktür; ancak risk faktörleri mevcutsa dikkatli olunması gerekiyor.
Daily Mail'in "Experts reveal why so many people are getting - and dying from - pneumonia, as Wayne Lineker becomes the latest celebrity to be hospitalised with potentially fatal lung infection" başlıklı haberinden derlenmiştir.










